சிங்கப்பூரில் நுரையீரல் புற்றுநோய்க்கான பரிசோதனையை மேலும் பலருக்கு விரிவுபடுத்த வேண்டுமென மருத்துவர்கள் சிலர் வேண்டுகோள் விடுத்துள்ளனர்.
நோயின் தொடக்கக் கட்டத்திலேயே அதை அடையாளம் காணவும் பயனுள்ள வகையில் சிகிச்சை அளிக்கவும் அது உதவக்கூடும் என்பது அவர்களின் நம்பிக்கை.
சிங்கப்பூரில் ஏற்படும் 28 விழுக்காட்டு மரணங்களுக்குப் புற்றுநோய்தான் காரணம். அவர்களில் அதிகமானோர் நுரையீரல் புற்றுநோயால் பாதிக்கப்பட்டவர்கள்.
2017 முதல் 2021ஆம் ஆண்டு வரையில் ஒவ்வொரு மாதமும் ஏறக்குறைய 100 பேர் இங்கு நுரையீரல் புற்றுநோயால் மாண்டனர். ஒப்புநோக்க, பெருங்குடல் புற்றுநோயால் மாண்டோர் எண்ணிக்கை 74.
ஒவ்வொரு மாதமும் 204 பேருக்கு பெருங்குடல் புற்றுநோய் உறுதிசெய்யப்படுவதாகவும் 149 நுரையீரல் புற்றுநோய் உறுதிசெய்யப்படுவதாகவும் சிங்கப்பூர் புற்றுநோய்ப் பதிவேடு தெரிவிக்கிறது.
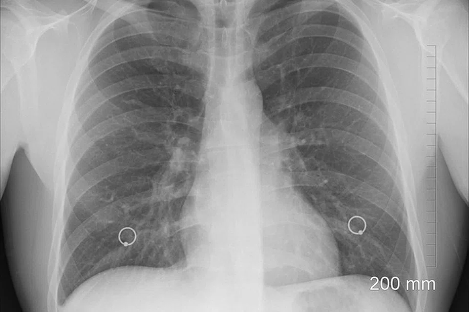
நுரையீரல் புற்றுநோயாளிகளில் அதிகமானோர் உயிரிழப்பதற்குக் காரணம், அவர்களில் முக்கால்வாசிப் பேருக்கு நோயின் மூன்றாம் அல்லது நான்காம் கட்டத்தின்போதுதான் பாதிப்பு அடையாளம் காணப்படுகிறது.
ஏற்கெனவே உடலில் அது அதிகம் பரவியிருக்கும் என்பதால் முழுவதுமாகக் குணப்படுத்துவது மிகக் கடினம்.
தற்போது நுரையீரல் புற்றுநோயாளிகளில் 68 விழுக்காட்டினருக்கு நோயின் தீவிரம் நான்காம் கட்டத்தில் உள்ளதாக தேசியப் பல்கலைக்கழக மருத்துவமனையின் நுரையீரல் சிகிச்சைப் பிரிவைச் சேர்ந்த பேராசிரியர் லீ பிங் கூறினார். அத்தகையோர் ஐந்து ஆண்டுகள் உயிர்வாழ்வதற்கான சாத்தியம் 20 விழுக்காடு மட்டுமே என்றார் அவர்.
தொடர்புடைய செய்திகள்
நீண்டகாலம் புகை பிடிப்போருக்கு மட்டுமன்றி மற்றவர்களுக்கும் நுரையீரல் புற்றுநோய்க்கான பரிசோதனையைச் செய்யவேண்டும் என்கிறார் அவர்.

